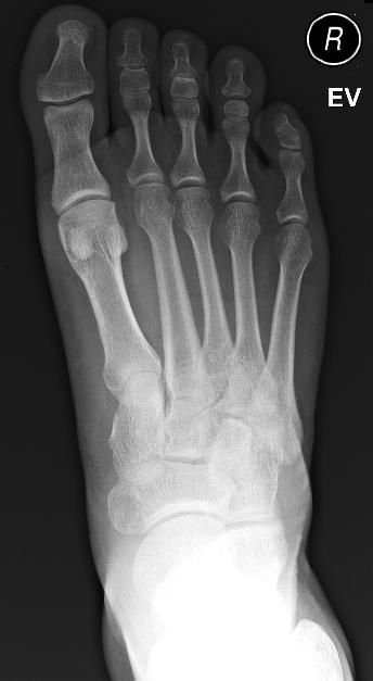
I had recently been hobbling around for about a week and a half (just before I started running again). I stepped on some glass that managed to embed itself in my foot. I bounced from clinic to clinic in search of the necessary images and scalpels. In the end, the x-rays revealed nothing and the surgeon just went for a dig. The glass is now out and my foot is pretty much healed.
This is what my foot looks like naked.


I’m not sure how you managed to omit in your previous post about your most recent run (or maybe I’m recollecting wrongly) that you were running with glass in your foot. I think you might need to reconsider and not call yourself lazy because you didn’t run with an injured knee, a sprained neck and glass in your foot. It seems very important to you, an integral part of your nature to push yourself very hard, take risks, and it is undoubtedly very taxing when things get in your way. That is an amazing quality, one that I respect and admire greatly and not one we all possess.
Perhaps the universe is giving you some suggestions, hints as it were, that you can ease up a little and channel your drive differently while you mend. It is very important to find an outlet for your brimming energy, that much is clear.
And once again: You are far from lazy…so so so far from it. And even if you actually were, would it make you a worse person in any way? No, not in the least.